Veneers sind hauchdünne Keramikschalen, die individuell mit feinen irisierenden Keramikmassen hergestellt werden. Durch die geringe Schichtstärke bleibt die Brillianz und die natürliche Lichtdynamik der Zähne erhalten.
Mit Veneers lassen sich wunderbar Zahnfehlstellungen, Defekte oder Verfärbungen korrigieren.
Die Zähne müssen nur minimal beschliffen werden. In besonderen Fällen kann sogar ganz auf das Beschleifen verzichtet werden. Somit ist es möglich, wertvolle und gesunde Zahnsubstanz zu schonen. Durch eine spezielle Klebetechnik werden die Veneers auf dem Zahn befestigt und erhalten dadurch ihre Stabilität.
In unserem Blog finden Sie noch viel mehr Informationen. Was kosten Veneers. Was zahlt die Krankenkasse. Wie ist die Haltbarkeit. Welche Erfahrungen wir mit Veneers haben. Und vieles mehr.
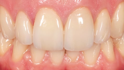
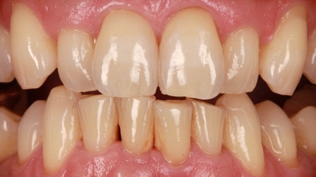
Diese junge, hübsche Patientin vermied es aufgrund größerer Füllungen und eines verfärbten mittleren Schneidezahnes zu lachen. Für Sie stellten wir vier individuelle Veneers her, die sich perfekt
in die Situation einfügen. Seitdem lacht unsere Patientin wieder gerne.

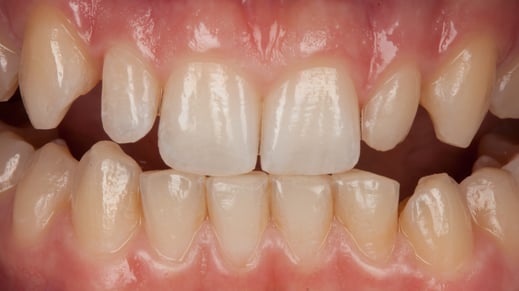
Diesen Patienten störten seine zwei Zapfenzähne und die daraus resultierenden Lücken. Es wurden zwei Veneers hergestellt, ohne dass der Behandler schleifen oder betäuben musste. Es wurde lediglich eine Abformung genommen und in der nächsten Sitzung konnten die fertigen Veneers eingeklebt werden.
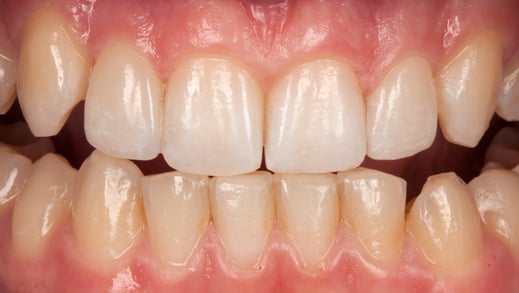
In diesem Fall wurde eine Korrektur der seitlichen Frontzähne gewünscht. Diese waren nach innen gekippt und die Kronen waren im Verhältnis zu den anderen Zähnen zu kurz. Es wurden zwei Veneers angefertigt und der Verlauf des Zahnfleisch wurde an die Situation angepasst.