Kronen & Brücken aus Vollkeramik

Bei größeren Defekten reicht es nicht aus, den Zahn mit Veneers oder Teilkronen zu versorgen. Der Zahn muss zirkulär beschliffen werden. Mit der Krone wird die Form und Funktion des Zahnes wiederhergestellt, so dass dieser sich perfekt in das komplexe Kausystem integriert. Ebenso bekommt die restliche Zahnsubstanz wieder Stabilität verliehen.

Mit modernen Materialien können wir Kronen so gestalten, als wüchsen sie wie natürliche Zähne aus dem Zahnfleisch heraus.

Es sind keine schwarzen "Trauerränder" oder dunkle Dreiecke zu sehen, wie man es von alten oder schlecht gefertigten Kronen kennt. 

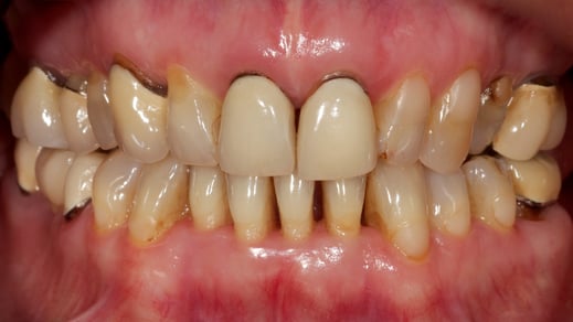
Dunkle Metallränder

alte Metallkeramikkronen vor der Restauration. www.mb-dental.de
vorher
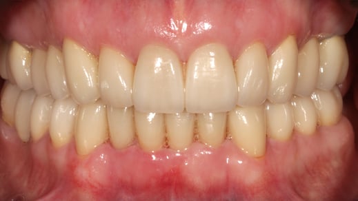
ästhetische Versorgung mit Vollkeramikkronen. www.mb-dental.de
nachher

Alte Kronen mit dunklen Trauerrändern, große Füllungen und eine nicht harmonische Zahnstellung störte diese Patientin. Mit vollkeramischen Kronen und Brücken konnte dieser Fall funktionell und ästhetisch optimal gelöst werden.


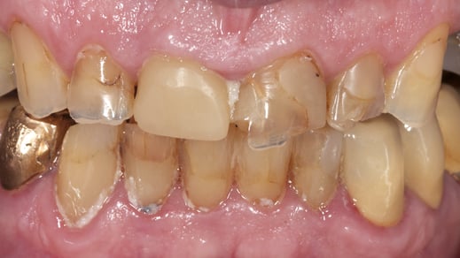
Stark abgenutzte Zähne

Stark abgenutzte Zähne / Bild Markus Bongartz
vorher
Zahnkronen bei stark abgenutzten Zähnen / Bild Markus Bongartz
nachher

Stark abgenutzte Zähne, große Füllungen und eine schlechte Verzahnung war die Ausgangssituation dieses Falles. Es wurde der komplette Oberkiefer mit Kronen und einer Brücke versorgt.