Implantate

Implantate sind künstliche Zahnwurzeln, die fest mit dem Knochen verwachsen. Sie sind die perfekte Lösung um vorhandene Zahnlücken zu schließen. In Verbindung mit Zahnkronen, welche darauf befestigt werden, wird der natürliche Zahn vollständig nachgebildet. Auf diesem festen Fundament können neben Kronen auch Brücken oder ganze Prothesen sicher verankert werden. Der Zahnersatz sitzt fest wie die eigenen Zähne.

Implantate sind eine sehr komfortable Zahnersatzform und können bei fast allen Patienten Anwendung finden.

Implantate werden industriell aus hochreinem Titan gefertigt und mit einer speziellen Oberflächenstruktur versehen. Durch die Belastung des Knochens wird dafür gesorgt, dass dieser langfristig erhalten bleibt. Mit dem Knochenerhalt wird auch der Erhalt des Zahnfleisches gesichert, was für eine ästhetische Versorgung im sichtbaren Bereich enorm wichtig ist.

Zahnlücke schließen

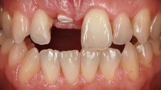
Zahnlücke der Schneidezähne / Bild Markus Bongartz
vorher
Zahnlücke geschlossen mit Implantat / Bild Markus Bongartz
nacher

Der Verlust eines Frontzahnes ist eine erhebliche ästhetische Einbuße. Eine Implantkrone ist die eleganteste Variante eine Zahnlücke zu schließen. Sie integriert sich optimal in ihr Umfeld und formt das Zahnfleisch harmonisch aus.