Implantate sind künstliche Zahnwurzeln, die fest mit dem Knochen verwachsen. In Verbindung mit Zahnkonen, die darauf befestigt werden, wird der natürliche Zahn komplett nachgebildet. Auf diesem festen Fundament können neben Kronen auch Brücken und ganze Prothesen sicher verankert werden. Dein Zahnersatz sitzt fest wie die eigenen Zähne. Wackelnde Prothese? Selbst bei bestehenden Prothesen ist es möglich den Halt mit Hilfe von Implantaten sicher herzustellen.
Implantate sind die perfekten Lückenschließer. Auch bei nur einem verlorenen Zahn macht es durchaus Sinn, ein Implantat zu setzen.
Ohne die Nachbarzähne beschleifen zu müssen, kann eine Lücke geschlossen werden. So bleibt wertvolle Zahnsubstanz erhalten und Deine gesunden Zähne bleiben unversehrt.
Durch die Belastung des Knochens bleibt dieser langfristig erhalten. Mit dem Knochenerhalt ist auch der Erhalt des Zahnfleisches gesichert. Das ist für eine ästhetische Versorgung, gerade im sichtbaren Bereich, sehr wichtig.
Implantate werden industriell gefertigt und mit einer speziellen Oberflächenstruktur versehen. Sie bestehen aus hochreinem Titan oder Zirkoniumdioxid (Keramik). Titan ist im Vergleich zu Keramikimplantaten wesentlich bruchstabiler.
Bereits 1967 entdeckte der schwedische Orthopäde Per-Ingvar Brånemark die Körperverträglichkeit von Titan. 1988 stellte er seine Studie vor, worauf im selben Jahr die wissenschaftliche Anerkennung der zahmedizinischen Implantologie erfolgte.
Wie ist ein Implantat aufgebaut?
Zahnimplantate bestehen in der Regel aus drei Teilen. Der Implantatkörper sitzt als künstliche Wurzel fest im Knochen. Darauf wird das Abutment geschraubt. Auf dem Abutment kann nun der Zahnersatz befestigt werden.
Bei sogenannten einteiligen Implantaten bestehen der Implantatkörper und das Abutment aus einem Teil.
Welche Abutment-Arten gibt es?
Zum einen kann man standardisierte und individuelle Aufbauten unterscheiden.
Einen individuellen Aufbau würde ich immer bevorzugen. Er passt sich perfekt Deiner Situation an. Der Übergang vom Abutment zum Zahnersatz wird optimal gestaltet. Er ist somit sehr gut kontrollierbar. So können Zementreste beim einsetzen restlos beseitigt werden. Diese könnten zu einer Entzündung und zum Verlust deines Implantates führen. Ebenfalls wird das Zahnfleisch perfekt ausgeformt. Gerade im sichtbaren Bereich ein ganz wichtiger Punkt um einen unsichtbaren Zahnersatz herzustellen.
Zum anderen unterscheidet man zwischen verschiedenen Materialien (siehe oben).
Gibt es unterschiedliche Implantatkronen?
Ja. Man kann zwischen zementierten (zweiteiligen) oder verschraubten (einteiligen) Implantatkronen unterscheiden.
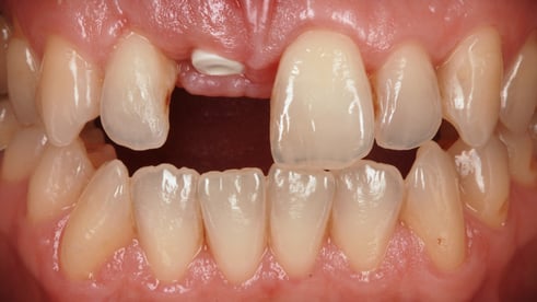
Bei der zementierten Variante wird der Zahnersatz (wie oben auf dem Bild zu sehen) auf dem eingeschraubten Abutment befestigt. Dies geschieht wie bei einer Krone auf einem natürlichen Zahnpfeiler mit Hilfe eines Befestigungsmaterials.
Bei der verschraubten Variante sind der Zahnersatz und das Abutment ein Teil. Der Zahnersatz hat hierbei ein Loch, den Schraubenkanal. Er befindet sich im idealen Fall auf der Kaufläche oder bei Frontzähnen zur Zunge hin. Durch den Schraubenkanal wird der Zahnersatz mit dem Implantatkörper verschraubt. Anschließend wird das Loch mit einem Füllungsmaterial verschlossen.
Wieviele Implantate benötige ich?
Die Anzahl der benötigten Implantate richtet sich nach der Ausganssituation. Fehlt ein einzelner Zahn, kann diese Lücke mit einem Implantat versorgt werden. Bei einer größeren Lücke muss nicht jeder Zahn durch ein Implantat ersetzt werden. Die Versorgung eines komplett zahnloser Kiefer kann schon mit 2-4 Implantaten sicher zum Halten gebracht werden. Für eine "festsitzende" Versorgung werden je nach Kiefer 4-6 Implantate benötigt.
Kann ich mit einem Implantat auch meine wackelnde Prothese zum Halten bringen?
Die Versorgung mit Hilfe von Implantaten in der Prothetik (Prothese = Ersatz eines fehlenden oder unvollständigem Körperteiles) ist vielseitig. Neben der Versorgung einzelner verloren gegangener Zähne ist es möglich, schlecht haltenden Prothesen wieder Halt zu geben.
Um den Grundstein für eine feste -statisch sichere- Versorgung zu legen, kann bei zu wenigen Restzähnen, eine Pfeilervermehrung erreicht werden.
Es gibt verschiedene Verbindungsmöglichkeiten von Implantat zu Zahnersatz, z.B. mit einer Art Druckknöpfen, Magneten, Riegeln u.v.m.. An dieser Stelle darauf einzugehen würde jedoch den Rahmen sprengen.
Kann sich jeder Implantate setzen lassen?
Im Prinzip eignen sich Implantate für jeden Erwachsenen. Sobald die Wachstumsphase abgeschlossen ist, gibt es nach oben keine Altersgrenzen.
Für das Implantat muss genug Knochen vorhanden sein. Dies ist sehr wichtig für ein langfristiges, stabiles Ergebnis. Vergleichbar mit einem Fundament beim Hausbau. Bei Knochendefizit gibt es in den meisten Fällen die Möglichkeit, den Knochen wieder aufzubauen. Dies kann durch künstliches Material oder eigenen Knochen geschehen.
Gegen eine Implantation sprechen z.B. ausgeprägte Stoffwechselerkrankungen, Blut- und Knochenleiden. Auch erhöhter Nikotin- und Alkoholgenuss gefährden den Erfolg.
Für eine spezialisierte medizinische Beratung empfehle ich Dir, einen Spezialisten für Implantologie aufzusuchen.
Was versteht man denn unter Implantatplanung?
Bei einer Implantatplanung wird mit Hilfe von Röntgenbildern, DVT (digitaler Volumentomograh) und Modellen die Positionierung und Größe der Implantate geplant. Dies ist wichtig, um zu wissen, wie die vorhandene Knochenstruktur ist und wo Nervenbahnen verlaufen.
Je nach Situation ist eine Bohrschablone von Vorteil. Sie hilft die geplante Position der Implantate perfekt in den Mund zu übertragen.
Wie lange dauert das Ganze?
Bevor das Implantat versorgt werden kann, muss eine Einheilphase abgewartet werden. Diese beträgt in der Regel ca. 2-6 Monate. Muss Knochen aufgebaut werden, verlängert sich die Einheilphase auf ca. 9 Monate. Das sind allerdings nur Richtwerte.
Als Primärstabilität wird die Festigkeit des Implantates direkt nach dem Einbringen bezeichnet. Sie beeinflusst wesentlich die Dauer der Einheilung. Der Knochen im Oberkiefer ist nicht so kompakt wie der im Unterkiefer. Dadurch verläuft hier die Einheilung, auch Osseointegration genannt, etwas langsamer.
Was kosten Implantate?
Die Kosten hängen stark von der Anzahl der Implantate, dem Implantatsystem, der Vorbehandlung und der Art der Versorgung Deiner Implantate ab. Hierfür solltest Du Dich ausführlich beraten lassen. Ein unverbindlicher Kostenvoranschlag gibt Dir eine Übersicht.
Blogger Zahntechnikermeister Markus Bongartz
- Ausbildung zum Zahntechniker 1996-2000
- Beste Meisterprüfung Deutschland 2010
- 1. Platz beim PEERS Implantat-Prothetik-Preis
- 3. Platz beim internat. Goldenen Parallelometer
- aktives Mitglied der DGÄZ (Deutsche Gesellschaft für Ästhetische Zahnmedizin)



